Гигантскую опухоль мозга удалили пациенту нижегородские нейрохирурги

Операция проведена в ГКБ №39. Нижегородские медики удалили пациенту гигантскую опухоль мозга.

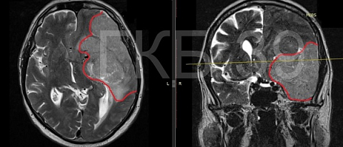
Операция проведена в ГКБ №39.

Нижегородские медики удалили пациенту гигантскую опухоль мозга. Об этом сообщается на странице Городской клинической больницы №39 Нижнего Новгорода в социальной сети.

Согласно информации, в марте текущего года в больницу обратился 66-летний мужчина. В ходе обследования врачи диагностировали у него опухоль головного мозга, размер которой составлял 10х7х6,5 см. Она занимала почти треть левого полушария. Существовала угроза жизни пациента.

Мужчину экстренно госпитализировали. Нейрохирурги приняли решение об удалении образования. Операция длилась более четырех часов. Гигантское новообразование было успешно удалено с помощью микрохирургической техники. Опухоль оказалась доброкачественной.

Уже через 10 дней мужчину выписали из клиники. Он вернулся к полноценной жизни.

Последние новости

Где найти запчасти для сервоприводов и стоит ли использовать аналоги?

Ремонт или замена? Оригинал или аналог? Как выбрать путь, который не навредит вашей автоматике

«Войдет в историю». Нижегородский губернатор — об увольнении тренера «Торпедо»

Нижегородский губернатор: «Ларионов войдет в историю ХК „Торпедо“» Губернатор Нижегородской области Глеб Никитин считает, что Игорь Ларионов, уже бывший главный тренер ХК «Торпедо», войдет в историю клуба.

«Секс не будет прежним». Как нижегородкам восстановить либидо после родов

Гинеколог Кондюров посоветовал нижегородкам не затягивать с сексом после родов Только что родившим нижегородкам посоветовали не отказываться от половой жизни больше, чем на полгода после родов.

Куда пойти с детьми в Уфе: 10 весёлых мест на выходные

Идеи для семейного отдыха в столице Башкортостана — от активных игр до познавательных музеев

Здесь вы найдете свежие и актуальные новости в Подольске, охватывающие все важные события в городе

Комментарии (0)

Добавить комментарий

Ваш email не публикуется. Обязательные поля отмечены *